Technique de brossage des dents
Articles similaires
L'hygiène en orthodontie
Vidéos 3D
Traitement multi-attaches
Vidéos 3D
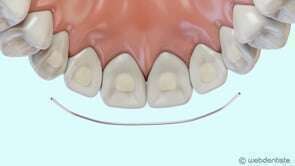
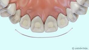
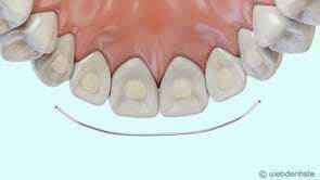
Contention de Hawley
Vidéos 3D
2 impasse des Hauts Jardins
92140
Clamart
2 impasse des Hauts Jardins
92140
Clamart
Vidéo en cours de lecture
